Advanced Dental Implant Treatments Near You


At Jupiter Dentistry, we’re committed to delivering exceptional dental care to the Jupiter community. Our state-of-the-art 3D Cone Beam CT Scan technology sets us apart as a premier dental practice, ensuring unparalleled precision for dental implant procedures. Our Jupiter dentist uses cutting-edge diagnostic tools to create beautiful, functional smiles that last a lifetime.
Are you looking for dental implants in Jupiter? Contact our dentist near you today by calling (561) 575-5599. We welcome new patients.
Cone Beam CT Scans
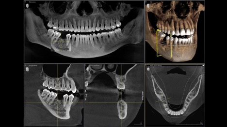
At Jupiter Dentistry, our 3D Cone Beam CT Scan is a cornerstone of our commitment to exceptional dental care. Under the expertise of Dr. Dylan Tagg, this advanced technology delivers safer, more precise, and highly effective diagnostics for dental implants, bone grafting, and other treatments. Serving patients in Jupiter, Tequesta, Palm Beach Gardens, and West Palm Beach, our state-of-the-art scanner ensures unparalleled accuracy for your smile transformation.
Unlike traditional medical CT scans, our Cone Beam technology offers:
- Enhanced Safety: Emits up to 200 times less radiation than conventional medical CT scans, prioritizing your well-being.
- Unmatched Precision: Captures images with accuracy down to 1/100th of a millimeter, allowing Dr. Tagg to measure jawbone volume, density, structure, and shape with pinpoint accuracy.
- Comprehensive Imaging: Rotates 360 degrees around your head, taking 150 to 200 images of your upper and lower jaws in under a minute.
- Protective Measures: A lead apron shields your body during the scan, ensuring maximum safety.
To schedule an appointment at our Jupiter dental office, call (561) 575-5599.

Our Dental Technology at Work
So, what are we using this technology for? Our Jupiter dentist uses 3D CT scans for the following treatments at Jupiter Dentistry:
The 3D Cone Beam CT Scan Process: What to Expect
At Jupiter Dentistry, our dentist prioritizes your comfort and safety during every step of the diagnostic process. Here’s what you can expect during your 3D Cone Beam CT Scan:

- Preparation: Our team will place a lead apron over your body to protect you from minimal radiation exposure.
- Scanning: The Cone Beam scanner rotates 360 degrees around your head, capturing 150 to 200 high-resolution images in less than a minute. The process is quick, painless, and non-invasive.
- Image Processing: The images are combined into a detailed 3D model, which Dr. Tagg can manipulate and segment into half-millimeter sections for precise analysis.
- Treatment Planning: Our Jupiter dentist uses the 3D images to assess jawbone density, structure, and vital anatomy, creating a customized treatment plan tailored to your needs.
Are you looking for a dentist in Jupiter? Get in touch with our dentist near you today by calling (561) 575-5599.
Frequently Asked Questions
Are 3D CT Scans safe?
Yes, our 3D Cone Beam CT Scans are safe, using up to 200 times less radiation than traditional medical CT scans. This makes them an ideal choice for patients in Jupiter seeking high-quality diagnostics with minimal exposure.
How long does a 3D CT Scan take?
The scanning process is quick and comfortable, typically lasting less than a minute. The scanner rotates around your head, capturing 150 to 200 images to create a detailed 3D model of your oral anatomy.
Do all dental implant procedures require a 3D CT Scan?
At Jupiter Dentistry, Dr. Dylan Tagg uses 3D Cone Beam CT Scans for every implant case to ensure the highest standard of care. This technology is the gold standard in implantology for its precision and safety.
Schedule a Visit at Jupiter Dentistry Today!
Ready to experience world-class dental care in Jupiter, FL? Contact our dentist in Jupiter today at (561) 575-5599 to schedule your consultation with Dr. Dylan Tagg. We’re welcoming new patients at our Jupiter dental office.


Complimentary Consultation
or 2nd Opinion
- Exam
- Full mouth X-rays
- Private Consultation with Doctor ($350 value)
- 2151 FL A1AAlt #1300,
Jupiter, FL 33477 - (561) 575-5599
- Monday: 8am - 5pm
- Tuesday: 8am - 5pm
- Wednesday: 8am - 5pm
- Thursday: 8am - 5pm
- Friday - Saturday - Sunday: Closed