Linda
Full Mouth Teeth Next Day Cosmetic Porcelain Bridgework
The Reason
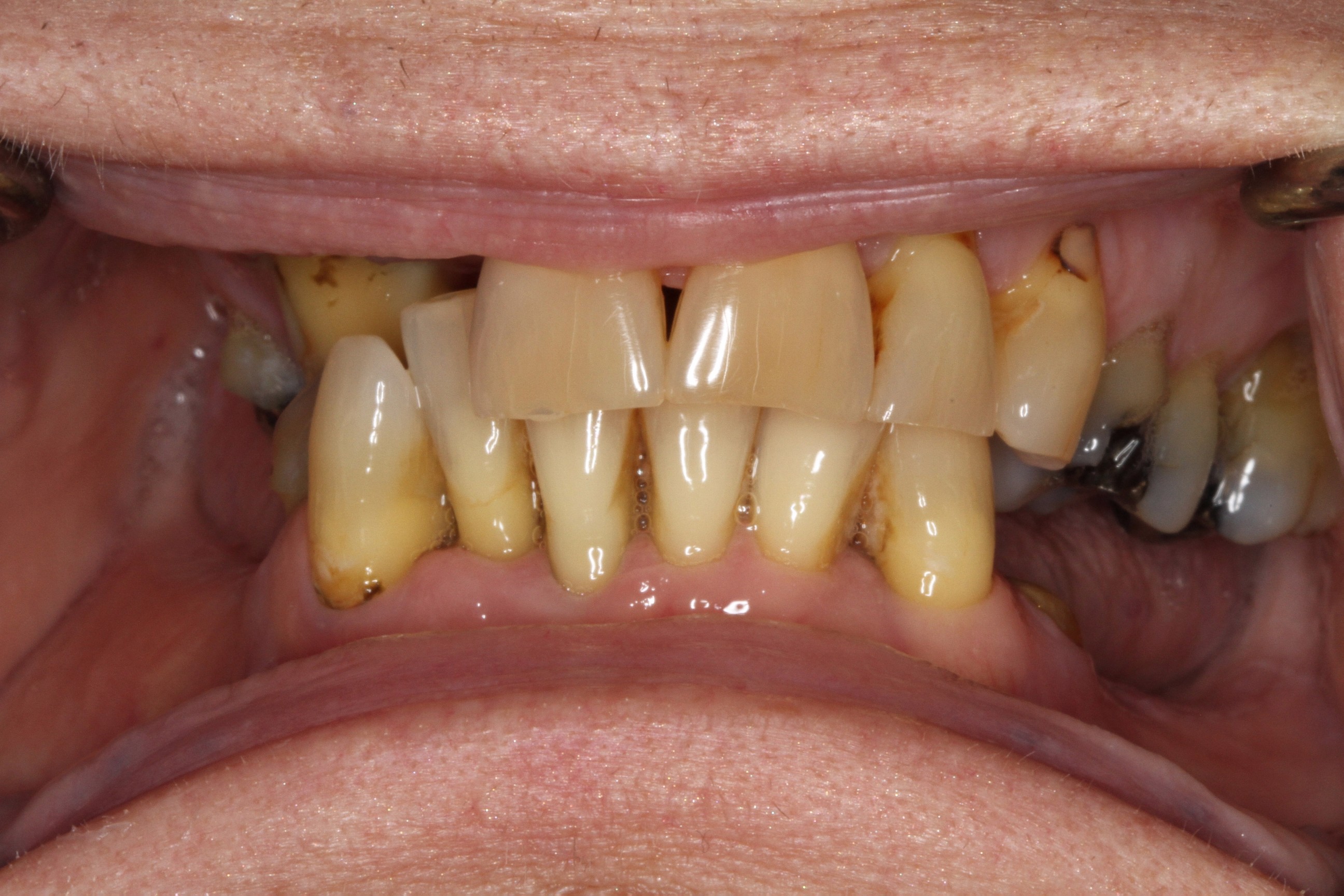
“Linda suffered for years with gradually deteriorating dental work. She was missing most of her teeth and every so often, she would have another failing tooth removed. Linda had difficulty eating her meals and was extremely embarrassed about the appearance of her smile.”
Diagnosis
Deteriorating dental work resulting in difficulty eating.
Recommended Treatment
- Comprehensive exam, X-rays, and 3D CT scan to assess bone support for implants.
- Placement of 8 dental implants in both upper and lower jaws under IV sedation.
- Temporary cosmetic teeth during healing, followed by permanently attached porcelain bridgework.
“Dr. Ajmo and his team are so professional and supportive. I was really nervous before we started, but it wasn’t long before I felt more comfortable with the entire process. Dr. Ajmo is a perfectionist and he always made sure I was comfortable throughout my dental treatments. I would recommend them all day long.”
Stellar Results. Our Best Advocates.


Complimentary Consultation
or 2nd Opinion
- Exam
- Full mouth X-rays
- Private Consultation with Doctor ($350 value)
- 2151 FL A1AAlt #1300,
Jupiter, FL 33477 - (561) 575-5599
Working hours
- Monday: 8am - 5pm
- Tuesday: 8am - 5pm
- Wednesday: 8am - 5pm
- Thursday: 8am - 5pm
- Friday - Saturday - Sunday: Closed