Lenny
Full Mouth Reconstruction with Upper & Lower Arch Replacement
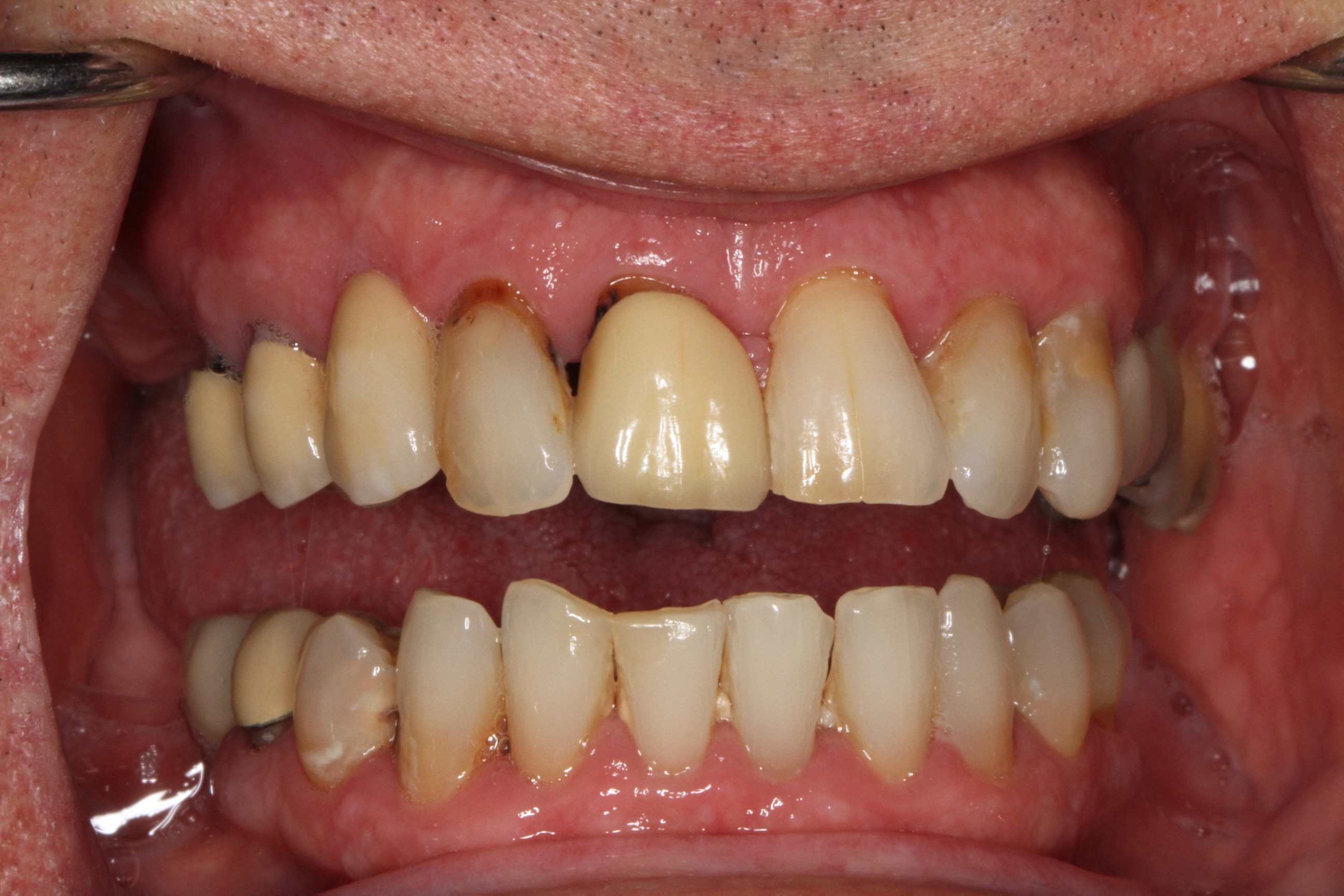
The Reason
“Lenny presented with advanced periodontal disease which was causing extensive bone resorption and tooth mobility. His teeth were getting loose and general dental health was poor. Eventually he suffered with a severe gum infection that caused him excruciating pain and stress. Lenny was extremely fearful of the dentist and the fact that PGA Dentistry offered IV sedation was a huge benefit.”
Diagnosis
Advanced periodontitis leading to bone resorption & tooth mobility.
Recommended Treatment
- 3D CT scan and full diagnostic workup to plan implant placement and sedation approach.
- Full-mouth extraction and placement of 8 dental implants per arch under IV sedation.
- Temporary fixed teeth delivered same day, followed by permanent porcelain bridges after healing.
“This was a complete game changer for me. I have been avoiding this for years and finally couldn’t take it any longer. My wife had been encouraging me over and over, but I just hadn’t found the right dentist to trust with this work. Dr. Ajmo changed my life, and I can’t thank him enough.”
Stellar Results. Our Best Advocates.


Complimentary Consultation
or 2nd Opinion
- Exam
- Full mouth X-rays
- Private Consultation with Doctor ($350 value)
- 2151 FL A1AAlt #1300,
Jupiter, FL 33477 - (561) 575-5599
Working hours
- Monday: 8am - 5pm
- Tuesday: 8am - 5pm
- Wednesday: 8am - 5pm
- Thursday: 8am - 5pm
- Friday - Saturday - Sunday: Closed