John
Full Mouth Reconstruction with Porcelain Crowns
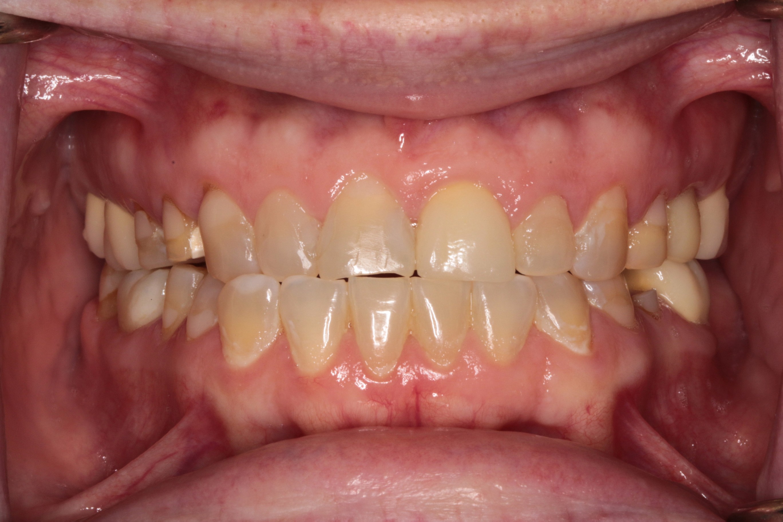
The Reason
“John had an underbite, multiple areas of decay, and was chipping a number of teeth. John already had several older crowns that had been in his mouth for many years and several fractured teeth that he would lose if he didn’t restore them soon. He wanted strong healthy teeth, but he also wanted to create a nicer smile and eliminate his underbite that he’s had since he was a teenager.”
Diagnosis
Underbite, areas of decay, older crowns, and fractured/chipping teeth.
Recommended Treatment
- Custom smile design with a wax mockup to confirm esthetics and bite correction.
- Temporaries based on the mockup for patient feedback and adjustments.
- Final placement of porcelain restorations to improve function, correct the underbite, and enhance his smile.
“I always hated my smile because I had an underbite since I was a kid. As I got older, I started having a variety of dental problems that seemed to keep happening. It was always one thing or another with my teeth. I’m so glad I found Dr. Ajmo at PGA Dentistry. He took the time to listen to my concerns and helped me realize there was a solution to my dental problems. Now I can smile with confidence and no longer worry about what dental issue is next. This has been a life changer for me & I really appreciate what Dr. Ajmo has done for me.”
Stellar Results. Our Best Advocates.


Complimentary Consultation
or 2nd Opinion
- Exam
- Full mouth X-rays
- Private Consultation with Doctor ($350 value)
- 2151 FL A1AAlt #1300,
Jupiter, FL 33477 - (561) 575-5599
- Monday: 8am - 5pm
- Tuesday: 8am - 5pm
- Wednesday: 8am - 5pm
- Thursday: 8am - 5pm
- Friday - Saturday - Sunday: Closed