Janice
Full Mouth Reconstruction with Crowns & Crown Lengthening
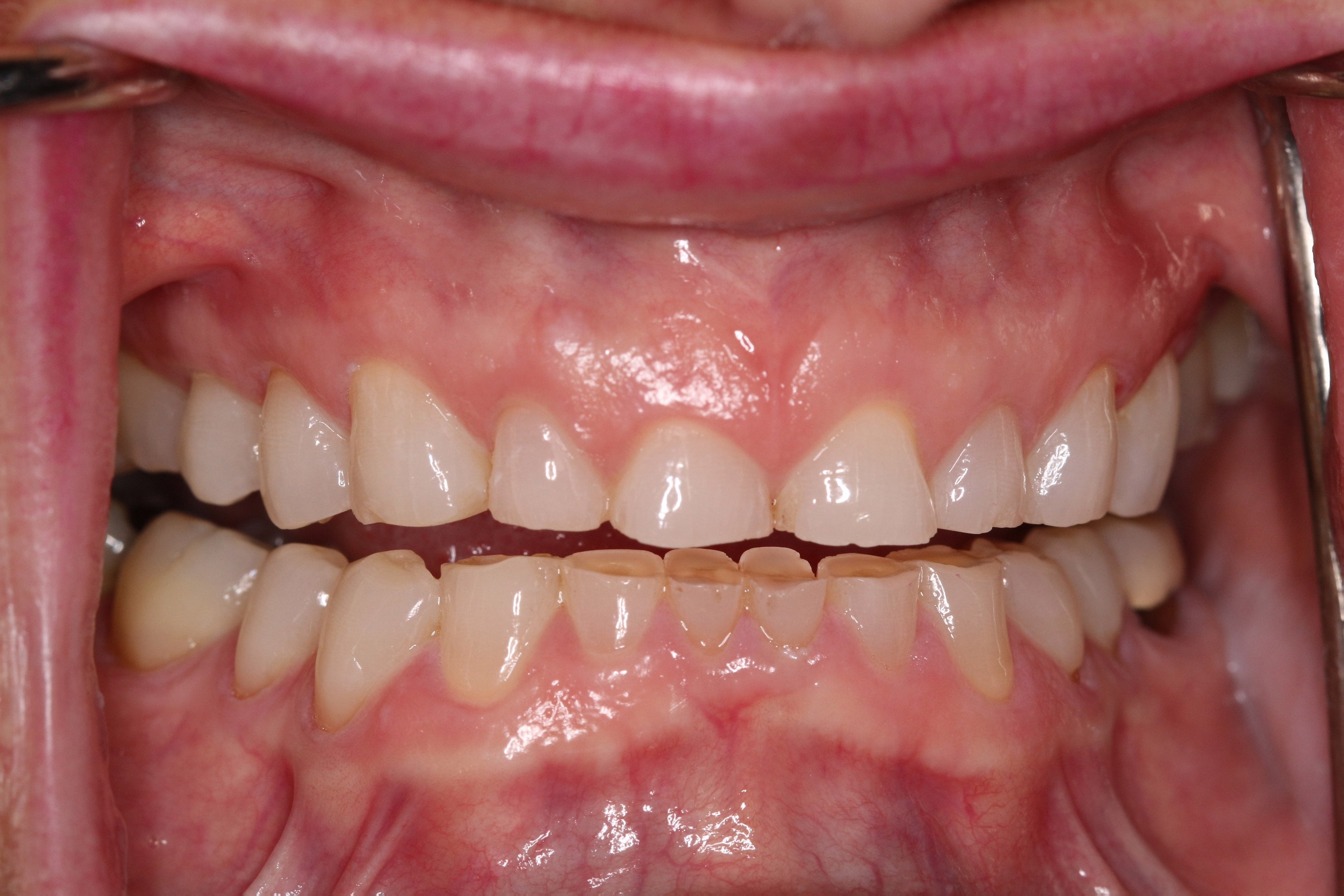
The Reason
“Janice suffered with severely worn-down teeth due to an aggressive grinding habit. She was adamant that she didn’t want to lose her teeth. She had seen several other dentists who didn’t think they could help her, so she was looking for an expert who could help save her teeth and restore her smile.”
Diagnosis
Teeth severely worn down due to heavy grinding.
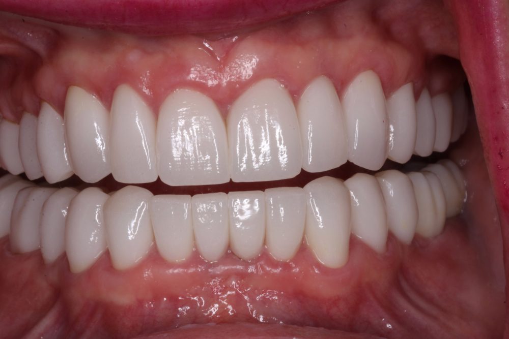
Recommended Treatment
- Crown lengthening surgery to expose more tooth structure for restoration.
- Custom smile design with a wax mockup and provisional crowns for patient feedback.
- Final placement of porcelain crowns and a nightguard to protect her new smile.
“I was worried I’d have to lose all my teeth and wear dentures. Fortunately, I found Dr. Ajmo at PGA Dentistry. He’s an expert at full mouth reconstruction and smile makeovers. I’m so happy I did this. I look and feel 15 years younger.”
Stellar Results. Our Best Advocates.


Complimentary Consultation
or 2nd Opinion
- Exam
- Full mouth X-rays
- Private Consultation with Doctor ($350 value)
- 2151 FL A1AAlt #1300,
Jupiter, FL 33477 - (561) 575-5599
Working hours
- Monday: 8am - 5pm
- Tuesday: 8am - 5pm
- Wednesday: 8am - 5pm
- Thursday: 8am - 5pm
- Friday - Saturday - Sunday: Closed